La reciente aparición de corzos abatidos con llamativos puntos blancos en la carne ha abierto en los últimos días un intenso debate en el sector cinegético. Tras una primera interpretación que apuntaba a la conocida como “enfermedad del arroz”, nuevos informes científicos cuestionan ese diagnóstico y llaman a extremar la cautela antes de sacar conclusiones.
Jara y Sedal tuvo acceso inicialmente a una comunicación difundida por el veterinario José Antonio Pérez Garrido en la que se aseguraba que estos casos correspondían a sarcosporidiosis, una parasitosis relativamente frecuente en fauna silvestre. En base a esa información se trasladó a los lectores que los corzos afectados presentaban esta patología.
Sin embargo, en las últimas horas esta redacción ha recibido una comunicación firmada por el catedrático de la Universidad Autónoma de Barcelona, Santiago Lavín González, en el que se cuestiona esa interpretación y se aporta un informe científico detallado que apunta en otra dirección.
La Universidad de Barcelona apunta a cisticercosis
El mensaje remitido por el equipo de la UAB es claro y directo. «No se trata de sarcosporidiosis. Se trata de cisticercosis. Nuestro grupo de investigación describió el proceso en corzos hace aproximadamente un año», señala el catedrático en su escrito.
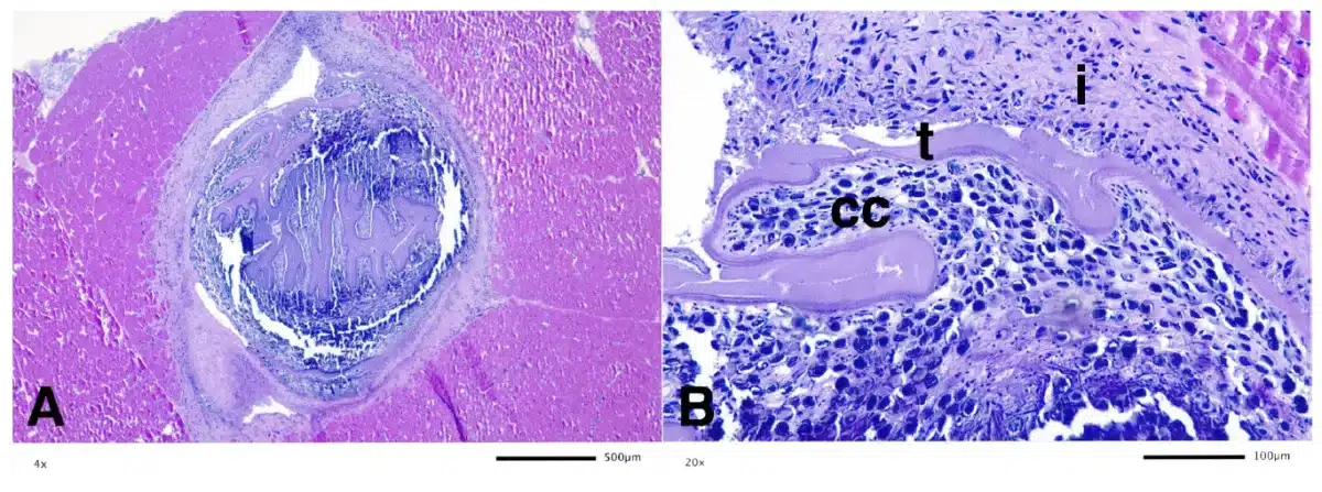
Junto a este correo, los investigadores han adjuntado un informe anatomopatológico correspondiente a un caso estudiado en Cataluña. En él se describe la presencia de numerosos quistes en el músculo esquelético de un corzo (Capreolus capreolus), compatibles con cisticercos, es decir, formas larvarias de tenias.

El documento detalla que estas estructuras son pequeñas vesículas llenas de líquido, con un punto blanco en su interior que corresponde al escólex del parásito. Este matiz resulta clave, ya que permite diferenciar esta patología de otras similares a simple vista. Además, el análisis histológico confirma la presencia de estructuras parasitarias compatibles con Cysticercus tarandi, vinculadas al ciclo biológico de Taenia ovis krabbei, un parásito que utiliza a los cérvidos como hospedadores intermediarios.
Un problema conocido pero poco documentado en España
El informe también subraya que este tipo de infestaciones ya ha sido descrito en otros países europeos con presencia de cérvidos, aunque en España los casos documentados en corzo son todavía escasos. De hecho, el propio documento señala que podría tratarse de uno de los primeros casos bien caracterizados en nuestro territorio.

Desde el punto de vista sanitario, los investigadores destacan que esta parasitosis no representa un riesgo para la salud humana, ya que no se trata de una zoonosis. No obstante, sí puede tener impacto en la calidad de la carne y en el aprovechamiento cinegético de las piezas afectadas.
Asimismo, advierten de que en infestaciones masivas, como las que parecen reflejar algunas imágenes difundidas, el estado del animal puede verse comprometido, afectando a su condición corporal y aumentando su vulnerabilidad.
La ACE pide prudencia y rigor
En paralelo a este intercambio de criterios científicos, la Asociación del Corzo Español (ACE) ha emitido una nota de prensa en la que llama a la prudencia ante las informaciones difundidas en los últimos días.
La entidad advierte de que realizar diagnósticos basándose únicamente en imágenes puede llevar a errores. «Afirmar tal circunstancia en base a un diagnóstico realizado exclusivamente sobre una imagen, sin que se haya acreditado su trazabilidad, resulta, cuando menos, imprudente», señalan.
Además, recuerdan que lesiones aparentemente similares pueden corresponder a patologías distintas, como sarcosporidiosis o cisticercosis, y que solo un análisis adecuado permite diferenciarlas con certeza.
En cualquier caso, la ACE coincide en un punto clave: ante cargas parasitarias elevadas, como las que muestran algunas de las imágenes difundidas, es recomendable no consumir la carne. También insiste en la importancia de no dejar restos en el campo ni alimentar con ellos a perros, para evitar cerrar el ciclo de los parásitos.
La asociación anima a los cazadores a remitir muestras para su análisis a través de sus canales, con el objetivo de mejorar el conocimiento sanitario de las poblaciones de corzo y evitar alarmas innecesarias.








